پست های مشابه

دکتر سمانه رازقی

۰ آیا می‌دانستید حتی شیرخوارانی که تازه دندان درآورده اند، هم می توانند دچار پوسیدگی دندان شوند؟ این پوسیدگی که به پوسیدگی شیشه شیر هم معروف بوده است، ناشی از شیر دادن شبانه به کودک است که با رویش دندان‌ها ابتدا باعث تغییر رنگ آنها می‌شود. بیشتر افراد این تغییر رنگ را به قطره آهن نسبت می‌دهند، اما با این که قطره آهن، زنگار سیاه‌رنگی روی دندان ایجاد می‌کند، در بیشتر موارد این لکه ها، همراه با حفرات پوسیدگی دندان هستند که علت آن شیر دادن درطول شب به کودک، بویژه بعد از یکسالگی، و تمیز نکردن دندان‌ها بعد از شیر خوردن کودک است. اگر چه شیر مادر به نسبت شیر خشک پوسیدگی زایی کمتری دارد، ولی اگر بخصوص بعد از یکسالگی بصورت نامحدود و در طول شب به کودک داده شود، می تواند پوسیدگی های وسیع دندانی در شیرخوار ایجاد کند. بهتر است شب‌ها کنترل‌شده و در دفعات کمتر و محدود به بچه شیر داده شود؛ در غیراین‌صورت پوسیدگی‌های وسیع در دندان‌ها اتفاق می‌افتد که بسرعت باعث تخریب دندان می‌شود، به عصب می‌رسد و مشکلات زیادی از جمله درد و عفونت برای کودک ایجاد می‌کند. توجه داشته باشید که اگر پزشک متخصص کودکان تشخیص دهد که باید به کودک در هر زمانی که بخواهد، شیر داده شود، اولویت با این مساله و حفظ سلامت کودک است. در این وضعیت برای حفظ سلامت دهان و دندان کودک، مراقبتهای پیشگیری سختگیرانه تری لازم است که در پست های بعدی به آن خواهیم پرداخت. #دندان_شیری#دکتر_سمانه_رازقی #دندانپزشکی_کودکان#کودکان#اطفال#ساختمان_پزشکان_شفا#دانشیار#دندان_پزشکی#متخصص#دندان#دندانپزشکی_تهران #دانشگاه_تهران #هیات_علمی #شیر_شبانه#لاکتوز#پوسیدگی_دندان_شیری#شیشه_شیر#شیر_مادر#مسواک#بهداشت_دهان_و_دندان#فلوراید_تراپی #dr_samaneh_razeghi#dental_clinic#dentist#childs#baby_teeth#Pediatric_dentist#shafa_doctors_building#tehran#Iran

04 اسفند 1399 19:05:51

31 بازدید

دکتر سمانه رازقی

جویدن و گاز‌گرفتن لب بعد از پایان درمان دندانپزشکی، یک مشکل شایع در کار برای کودکان هست که ناشی از بی‌حسی لب‌ه. گاهی اوقات این زخم میتونه برای والدین نگران کننده باشه و ذهن اون‌ها رو به سمت آلودگی وسایل، حساسیت به مواد و یا آسیب به لب کودک حین کار ببره (که البته هیچکدوم هم صحیح نیست ☺). ✴ با یک مراقبت ساده میشه از ایجاد این زخم جلوگیری کرد. کیا تجربه چنین زخمی رو داشتن؟ #بی_حسی_موضعی #گاز_گرفتن_لب_بعد_از_دندانپزشکی #گاز_گرفتن_گونه #درمان_دندانپزشکی_کودکان #متخصص_دندانپزشکی_کودکان #مراقبت_پس_از_درمان_دندانپزشکی #cheek_biting #local_anesthesia #pediatric_dentistry #oral_health_in_children #care_after_dental_treatment

16 خرداد 1400 15:55:53

9 بازدید

دکتر سمانه رازقی

درمان دندان‌های شیری پوسیده، برای حفظ سلامت دندان‌های دائمی ضروری است. عفونت مکرر دندان‌های شیری، می‌تواند به دندان‌های دائمی آسیب برساند. ⁉️ یک سوال: کودکان ۵-۶ ساله ایرانی، بطور متوسط چند دندان پوسیده، پرشده و یا کشیده شده به علت پوسیدگی در دهان خودشون دارن؟ #سلامت_دهان_دندان #سلامت_دهان_دندان_کودک #پوسیدگی_زودرس_دندان_شیری #عفونت_دندان_شیری #دندان_دائمی #درمان_دندانپزشکی_کودکان #عفونت_دندان_شیری #primary_teeth_care #permanent_dentition #tooth_infection #dental_treatment #pediatric_dentistry

30 تیر 1400 16:57:58

21 بازدید

دکتر سمانه رازقی

می‌دونید انجام بی‌حسی تو کدوم بچه‌ها از همه راحت تره؟ از نظر من، اونایی که هیچ سابقه #دندانپزشکی ندارن و اولین باره که کار درمان براشون انجام میشه، بچه‌هایی که خلق و خوی آروم و ریلکس دارن، بابا و مامانشون هم آرامش دارن، بزرگتر از ۴ و نیمسال هستن، و از اینور و اونور خاطرات تلخ از دندونپزشکی به گوششون نخورده ... همین .... 😂 قهرمان ما امیرعلی جان 🥰 با هنرنمائی @mm.trxi7310 و بابای امیرعلی که یک همراه واقعی هستن 😎 ⁉️سوال امتیازی: چه اتفاقی میفته که امیرعلی متوجه بی‌حسی نمیشه؟! 🔅 بی‌حسی از نوع بلاک عصب آلوئولار تحتاتی است. #بی_حسی_موضعی #بی_حسی_دندانپزشکی #بی_حسی_دندانپزشکی_کودکان #دندان_شیری #دندانپزشک_متخصص_کودکان #دندانپزشکی_اطفال #کودک_و_دندانپزشک #دندانپزشک_کودک

28 تیر 1401 15:51:29

107 بازدید

دکتر سمانه رازقی

درمان‌های پیچیده‌ای مثل درمان ریشه و ترمیم‌های کامپوزیتی (همرنگ دندان) دندان‌های قدامی، در کودکان کوچک، بدون آرام‌بخشی یا بیهوشی عمومی اکثر اوقات غیرممکنه. وقتی تعداد دندون‌هایی که نیاز به درمان ریشه و ترمیم، چه از نوع روکش‌های استیل و چه از نوع کامپوزیت، بیشتر از دو تا سه دندان باشه، و کودک بدلیل سنِ اندک، توانایی همکاری نداشته باشه، تصمیم به درمان تحت آرام‌بخشی یا بیهوشی عمومی می‌گیریم. 🔅 قطعا مشاوره‌های پزشکی قبل اقدام با متخصص پزشکی کودکان انجام می‌شه. ✅️ با رعایت شرایط استاندارد و در مراکز معتبر، درمان تحت آرام‌بخشی یا بیهوشی هیچگونه آسیبی برای کودک بدنبال نخواهد داشت. سوالی دارین بپرسین! پ.ن. مامان بزرگها و دوستان و آشنایان مخالف این درمان رو بفرستین توجیه بشن!! 😁

22 اسفند 1400 16:01:11

63 بازدید

دکتر سمانه رازقی

چون که نمی‌خواست دندون‌هاشو نگاه کنیم 😁 به همین راحتی می‌گفت برو دندون‌هامو نشون‌ت نمیدم 😁 اما آخرش با یه آینه دندون مامان‌ش رو دیدم با اون یکی آینه دندون خودش رو 😎 البته یه کمی گریه هم داشتیم 🙃 بودن بچه‌های پر استرس تو بغل مامان یا بابا، بهشون آرامش بیشتری میده ممکنه همه چی عالی پیش نره، ولی همه تلاش‌مون رو می‌کنیم که کوچولوهامون با کمترین ناراحتی از پیش‌مون برن 😍😍😍 🔅 شخصا با حضور والدین در اتاق کار موافقم البته در شرایط خاص ممکنه ازشون خواهش کنم اتاق رو ترک کنن ✅ انجمن دندانپزشکی کودکان امریکا، استفاده از حضور یا عدم حضور والدین رو به عنوان یکی از تکنیک‌های جلب همکاری کودک (هدایت رفتاری) مطرح میکنه. خوب حالا بگین به نظرتون به آقا عباس اخمالو ولی شیرین جایزه بدیم یا نه؟؟ 😄 #همکاری_کودک_در_دندانپزشکی #حضور_والدین #درمان_موفق_دندانپزشکی #behaviour_guidance #parents_presence

30 شهریور 1400 15:41:07

35 بازدید

سمانه رازقی

0

3

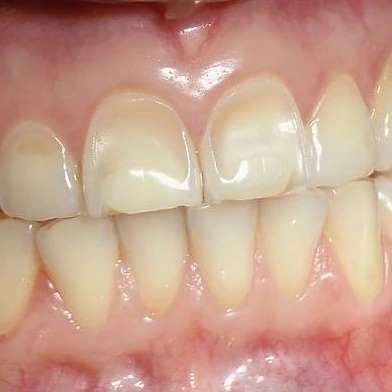
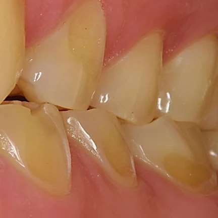
موادغذایی ترش دارای اسیدیته بالا هستند و مصرف مداوم آن‌ها می‌تواند سبب حل شدن بلورهای معدنی مینای دندان و ایجاد #سایش_دندان، تخریب آن و حساس شدن دندان‌ها شود. ✳ برای پیشگیری از سایش اسیدی دندان‌ها، مصرف ترکیبات اسیدی در رژیم غذایی را محدود کنید. نوشابه های گازدار، آبمیوه خصوصا مرکبات، و ترشی‌ها منبع اصلی اسید در غذاها هستند. دو تصویر آخر نمای دندانی سایش اسیدی دندان است. آیا شما عادت مصرف خوراکی‌های ترش رو دارین؟ چه موادغذایی اسیدی دیگه ای سراغ دارین؟ #سایش_دندان #مواد_غذایی_اسیدی #dental_erosion #oral_health_care

شما میتوانید مطالب بیشتری از صفحات محتوایی و دیگر صفحات بامانو بخوانید

برای دسترسی نامحدود به مطالب و استفاده از امکانات دیگر اپلیکیشن بامانو مانند ساخت آلبوم خانوادگی، اپلیکیشن بامانو را نصب کنید. با عضو شدن شما از محتواهایی پشتیبانی میکنید که دوست دارید بیشتر از آن ها مطلع باشید

دکتر سمانه رازقی

سمانه رازقی

0

3

موادغذایی ترش دارای اسیدیته بالا هستند و مصرف مداوم آن‌ها می‌تواند سبب حل شدن بلورهای معدنی مینای دندان و ایجاد #سایش_دندان، تخریب آن و حساس شدن دندان‌ها شود. ✳ برای پیشگیری از سایش اسیدی دندان‌ها، مصرف ترکیبات اسیدی در رژیم غذایی را محدود کنید. نوشابه های گازدار، آبمیوه خصوصا مرکبات، و ترشی‌ها منبع اصلی اسید در غذاها هستند. دو تصویر آخر نمای دندانی سایش اسیدی دندان است. آیا شما عادت مصرف خوراکی‌های ترش رو دارین؟ چه موادغذایی اسیدی دیگه ای سراغ دارین؟ #سایش_دندان #مواد_غذایی_اسیدی #dental_erosion #oral_health_care

شما میتوانید مطالب بیشتری از صفحات محتوایی و دیگر صفحات بامانو بخوانید

برای دسترسی نامحدود به مطالب و استفاده از امکانات دیگر اپلیکیشن بامانو مانند ساخت آلبوم خانوادگی، اپلیکیشن بامانو را نصب کنید. با عضو شدن شما از محتواهایی پشتیبانی میکنید که دوست دارید بیشتر از آن ها مطلع باشید

پست های مشابه

برو به اپلیکیشن